Welcome to

Gentle Dental

About

Our team at Gentle Dental is led by Dr Lindsay Dyson who has had over 30 years experience in the Burwood East area.

We have a special interest in the good oral health of our patients, be they the very young, in their teens, an adolescent and adults right through to our more senior citizens.

We offer a wide variety of services which can include general, cosmetic and restorative dentistry.

One of our main interests is in the field of Orthodontics and Dento-facial Orthodontics, using the latest and most successful, state-of -the-art technology for both diagnosis and treatment.

Our dentists here at Gentle Dental take the time to talk to our patients and parents, we like to make sure that our patients are comfortable with their treatment plans and understand not only the expected outcomes but also some of the inherent risks that may be associated with some treatments. We have developed network of specialists which can be called upon to help in the treatment goals should they be needed.

We are caring, sympathetic and NOT scary.

Services

  • Routine Exams

    It is easiest way to keep an eye on your oral health, picking up issues as early as possible makes treatment more conservative and less of a shock to the budget.

  • Orthodontics

    Dr Dyson is a general dentist with a special interest in Orthodontics and Dento-facial Orthodontics. He has over 20 years experience in Ortho and it is his favorite part of practice.

  • Dental Fillings

    It's a reality, but our team will try to remove the stress associated with fillings by our caring and friendly approach. We use tooth coloured restorations and ceramic crowns and inlays.

  • Cosmetic and Restorative Dentistry

    You need to look your best and you need to be able to eat and function properly. We use one of the best and most modern dental labs in Australia for all of our work. It pays to use the best.

  • Hygiene and Health

    Regular checkups and early assessment of many potential problems is the key. We also have access to many fine Specialists to help us with any treatment needed.

  • Teeth Whitening

    In the modern world, tooth whitening has become a much sort after enhancement to your smile. We use the most modern materials and techniques.

Orthodontics

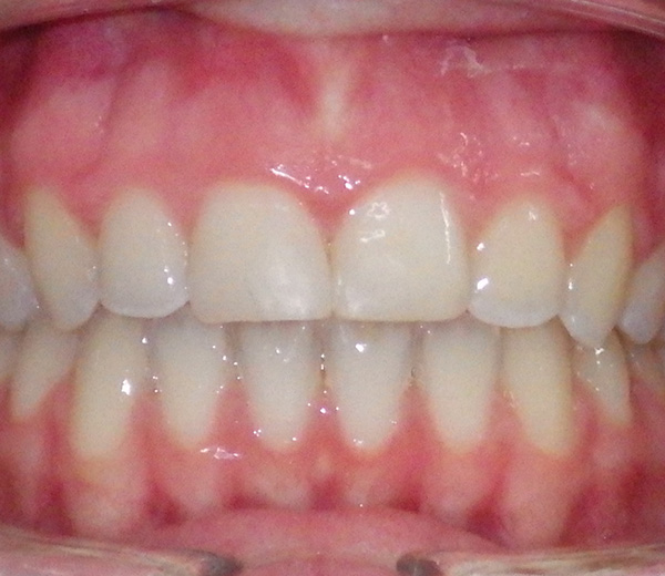
  • 1

    A bit of an problem seen here at age 12, the upper arch was also quite narrow but the teeth were well-formed and well-shaped. The lower jaw was under-developed but we were able to manage the growth potential to aid in treatment.

  • 2

    A palatal expansion plate was used first to give the correct width to the upper arch.

    This was done rapidly and was only needed for 3 months.

  • 3

    Followed up with a course of full fixed orthodontic bands and brackets for 18 months.

  • 4

    A truly satisfying result for both the patient and Dr Dyson.

Team

  • Dr Lindsay Dyson

    B.D.S. (Adel.) F.I.C.C.D.E.

    Dr Dyson graduated from the University of Adelaide dental school and went into private practice in Adelaide before moving to Melbourne where he has practiced for over 30 years. He has been involved in the tutoring of dental students at the University in restorative and conservative dentistry.

    Lindsay undertook further study in orthodontics for two years with the prestigious Progressive Orthodontics Seminar company and graduated in 1993. POS is the premier general dentist training programme in the world and Lindsay has also graduated their advanced course in Dento-facial orthodontics, growth assessment and management. Lindsay is also certified for the diode laser by the International Centre for Laser Education.

    In his private life he is a gundog enthusiast, a Weimaraner owner and breeder and has published two comprehensive books on the Weimaraner in Australia. He is a life member of the Weimaraner Club of Victoria Inc. Lindsay is also a keen skeet shooter and has won a bronze medal in the Victorian State championship. Lindsay is a warm-hearted individual intent on passing on his experiences to others and to help wherever he can.

  • Marlie H.

    Practice Manager

    Marlie is the practice manager for Gentle Dental and has been with Dr Dyson for ten years. Marlie came to the practice as a junior after finishing high school and has stayed on with the practice to become a guiding influence.

    Away from her dental nursing qualifications she is a Cross-fit enthusiast. Marlie also played basketball for the Waverley Falcons in the state women’s league, successfully winning the premiership in 2013.

    She has now retired from competitive basketball and married to Scott in 2016.

  • Amy S.

    Dental Assistant

    Amy is a recent addition to the team at Gentle Dental, and is a happy and cheerful young lady who shows a keen interest in all her dental training.

    She is a trainer with the Vermont Junior Football Club and plays netball.

    We expect good things from Amy.

Contact

Contact Details

Opening Hours

  • Monday: 9:30am – 5:30pm

    Wednesday: 9:30am – 5:30pm

    Thursday: 9:30am – 5:30pm